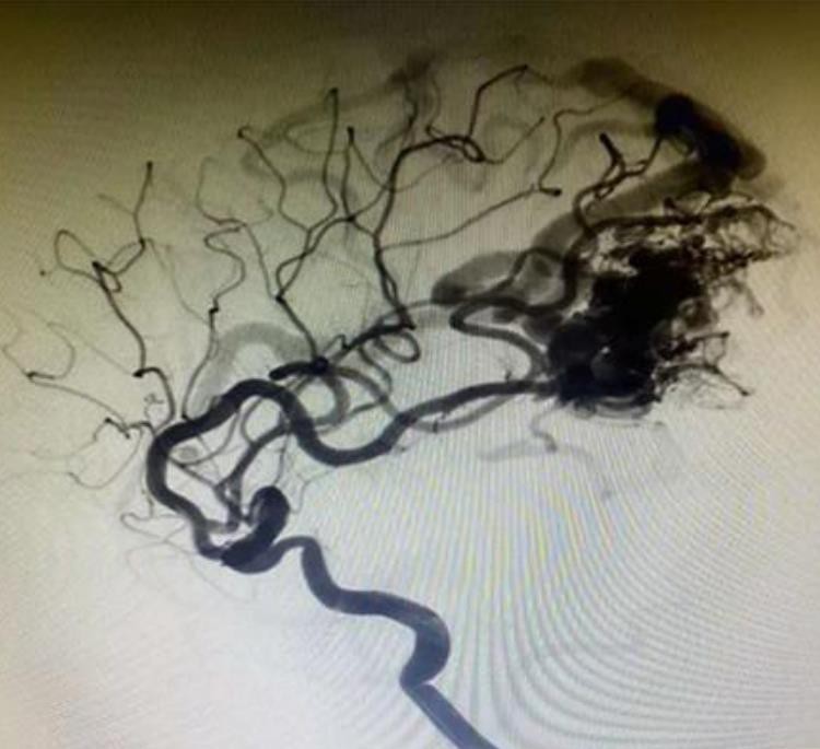
Lava -12 Ενδοκρανιακό ανευρύσματα υγρό εμβολικό σύστημα
Όταν η λάβαTMΤο ενδοκρανιακό υγρό σύστημα ανευρύσματος ανευρύσματος έρχεται σε επαφή με το αίμα ή οποιοδήποτε υδατικό διάλυμα, η επιφάνεια του θα στερεοποιηθεί αμέσως και θα σχηματίσει μια προστατευτική μεμβράνη. Το DMSO στον εμβολιασμό αραιώνεται και διαχέεται στο αίμα, έτσι ώστε η σκόνη του ταντάλου να τυλιχτεί από το Evoh κατακρημνίζεται και στερεοποιείται από το εξωτερικό προς τα μέσα. Ταυτόχρονα, η λάβα διαχέεται σε πολύ μακριά κάτω από την πίεση έγχυσης. Τέλος, σχηματίζει ένα σπογγώδες εμβολικό σώμα στη θέση εμβολισμού.

ΛάβαTMΤο σύστημα εμβολιασμού ανευρύσματος είναι κατασκευασμένο από μη συγκολλητικό υλικό, επομένως είναι πιο ασφαλές και μη κολλημένο τον καθετήρα.
Είναι μοναδική φόρμουλα χαμηλής ιξώδους με πλήρη φάσμα μοντέλων λάβα -12, λάβα -18 και λάβα -34.
Έχει καλύτερη διασπορά και διείσδυση. Και μπορεί να διεισδύσει βαθιά στη βλάβη και να φτάσει στο απομακρυσμένο σκάφος.
Η σκόνη Tantalum είναι πιο λεπτή, πιο αργά κατακρημνίζεται και πιο σαφώς ακτινογραφία σε σύγκριση με τους ανταγωνιστές.

Σημειώσεις γιαΕνδοκρανιακό υγρό σύστημα ανευρύσματος
● Παρατηρήστε εάν ο υγρός εμβολικός παράγοντας Lava στερεοποιείται, αν ναι, πρέπει να αποψυχθεί πρώτα.
● Τοποθετήστε τον εμβολικό παράγοντα Liav Liquid στον δονητή.
● Ρυθμίστε τον δονητή στο υψηλό επίπεδο.
● τουλάχιστον 20 λεπτά για κούνημα
● Μέχρι να χρησιμοποιηθεί.
|
Κώδικας προϊόντος |
Ιξώδες |
Περιγραφές |
|
Λάβα {0}} |
12 CST |
Χαμηλότερο ιξώδες, πιο ρευστό, για απομακρυσμένες μικροβίες. |
|
Λάβα {0}} |
18 CST |
Τυπική φόρμουλα, γενική χρήση. |
|
Λάβα {0}} |
34 CST |
Υψηλότερο ιξώδες, για δοχεία υψηλής ροής. |











